INSM1 (QR128) - Recombinant rabbit monoclonal antibody
Exhibitor
quartett Biotechnologie
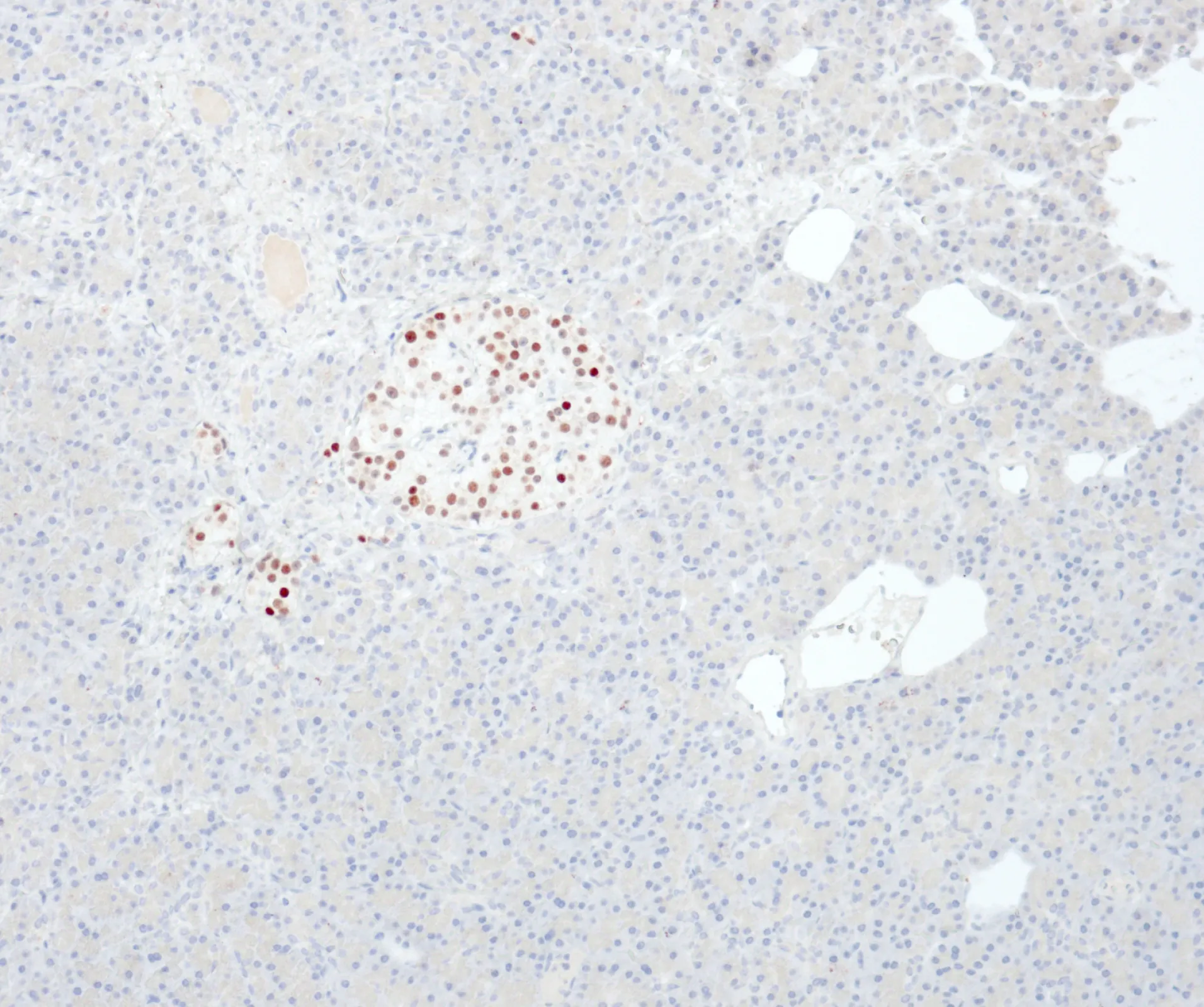
INSM1, also known as Insulinoma-Associated Protein 1, is a zinc finger transcription factor that plays a crucial role in neuroendocrine differentiation. Expression is found in neuroendocrine cells throughout the body.
INSM1 is found in the majority of neuroendocrine neoplasms and is used as nuclear marker of neuroendocrine differentiation. INSM1 is expressed in a broad spectrum of neuroendocrine tumors (including small cell carcinoma, large cell neuroendocrine carcinoma and well differentiated neuroendocrine tumor/carcinoid tumor of various sites).
Anti-INSM1 can be used for differentiation of pancreatic neuroendocrine tumors (100%) from pancreatic adenocarcinoma (0%). In lung, INSM1 is found in 95% of small cell carcinoma, in 91% of large cell neuroendocrine carcinoma and in about 3% of adenocarcinoma.
_Pancreas_10x-resized.webp)