Logo of the Federal Ministry for Economic Affairs and Energy
Made in Germany logo
WHX Labs 2026German Exhibitors quartett Biotechnologie

quartett Biotechnologie

Booth number: H4.E19
www.quartett.com

About us

Founded 1986 in Berlin/Germany as a family-run biotechnology company quartett is committed to the fight against cancer and wants to contribute better cancer diagnosis. Specialized in two areas, we produce monoclonal antibodies for anatomic pathology/IHC, as well as synthetic peptides for the pharmaceutical industry and research.

Our first manufacturing site was founded in 1997. In 2023, we moved into our new company building including an area of 800 sqm laboratory space. Our certified production site (ISO 9001, ISO 13485, IVDR) guarantees products of highest quality. All products are solely developed and manufactured in Germany.

Anatomic pathology

The company specialized its product profile in the production of rabbit and mouse monoclonal antibodies for anatomic pathology as well as ancillary IHC reagents optimized for any automated staining platform and manual staining. With our novel recombinant rabbit monoclonal antibody production process, we are one of the few companies in the world capable of doing this. Normally, almost all antibodies are produced using mice. But the immune system of a rabbit is far superior to that of a mouse. So we can manufacture highly specific and sensitive antibodies that are valuable for cancer diagnosis.

Biochemicals

Second expertise is the production and modification of synthetic peptides with HPLC purity > 95 % (protease inhibitors, peptides for antibody production). The success of our purely synthetically produced peptides enabled us to develop a new technology for the production of recombinant rabbit monoclonal antibodies.

Address

quartett Biotechnologie
Am Muehlenberg 4
14476 Potsdam
Germany

E-mail: service@quartett.com
Phone:  +49 30 7659250
Internet: www.quartett.com

Contact person:

Mário Martins
International Business Manager
E-mail: m.martins@quartett.com

Products & Services

Laboratory Devices
Reagents & Chemicals

Advantages

  • 100 % made in Germany - All products are exclusively developed and manufactured in Germany.

  • NordiQC rating - External quality assessments by NordiQC, an international profiency testing program for diagnostic IHC.

  • Free samples - Convince yourself of our excellent product quality and ask for free samples.

  • Short delivery times - International orders are usually shipped within 48 hours, national orders within 24 hours.

  • Unbeatable price/performance ratio - Products at fair prices to make diagnostics not dependent on financial means.

Certificates

  • IVDR - Regulation (EU) 2017/746

  • EN ISO 13485:2016 - Medical devices - Quality management systems - Requirements for regulatory purposes

  • ISO 9001:2015 - Quality management systems - Requirements

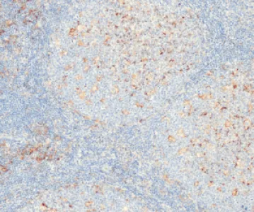
PRAME (QR005) - Recombinant rabbit monoclonal antibody

PRAME is a tumor-associated antigen that is preferentially expressed on the nuclei of neoplastic melanocytes. In normal tissue, expression of this cancer testis antigen is largely restricted to testis.

Anti-PRAME can be used for differential diagnosis of melanoma with diffuse positive nuclear staining versus nevi which are negative or only focally positive for PRAME. Therefore, it can be a helpful additional examination for situations in which antibodies against Hmb-45, Melan A and SOX10 do not provide sufficient information to distinguish between benign and malignant melanocytic lesions. 

Clear cell sarcoma is reported to give consistently negative staining in contrast to malignant melanomas, and can therefore be used for differential diagnosis between clear cell sarcoma (negative) vs. malignant melanoma (positive). Most synovial sarcomas and myxoid liposarcomas are diffusely positive for PRAME.
Literature using other clones documented that PRAME is expressed not only by melanoma but also by various non-melanoma neoplasms including non-small cell lung cancer (NSCLC), breast carcinoma, renal carcinoma, ovarian carcinoma, and leukemia.

Visit website

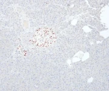
PD-L1 (QR001) - Recombinant rabbit monoclonal antibody

Programmed Death Ligand 1 (PD-L1), also known as CD274 and B7-H1, is a transmembrane protein expressed on the surface of resting T-cells.

Binding to its receptor PD-1, a T-cell immune checkpoint, T-cell activation is inhibited and autoimmune reaction is stopped. Some tumor cells use this mechanism to prevent apoptosis and obtain resistance against CD8+ T-cell mediated cell lysis. Blockade of the PD-1/PD-L1 pathway has now shown useful in therapy of multiple cancer types, causing durable tumor regressions in a substantial proportion of otherwise treatment refractory cases of melanoma, and carcinomas of e.g., lung, kidney, and urinary tract.

Anti-PD-L1 is suitable to detect non-small cell lung cancer (NSCLC), gastric carcinoma or melanoma. According to literature PD-L1 is known to be expressed in 36-72% of NSCLC, 33-83% of melanoma and 15-69% of gastric cancer.

Visit website

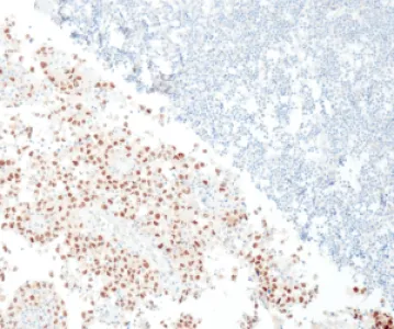
TRPS1 (QR099) - Recombinant rabbit monoclonal antibody

TRPS1 (Transcriptional Repressor GATA Binding 1) is a nuclear transcription factor protein that mainly acts as a transcriptional repressor. It plays a critical role in the development of cartilage, bone and hair follicle. TRPS1 is highly expressed in breast epithelial tissues functioning as an essential regulator for the growth and differentiation of normal mammary epithelial cells.

TRPS1 is involved in the development of breast cancer and is required for breast cancer cell survival. Positive expression is found in >90% of breast cancer cases. Therefore, anti-TRPS1 is increasingly used in IHC to determine breast cancer subtype and evaluate tumor biology.

Visit website

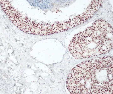
INSM1 (QR128) - Recombinant rabbit monoclonal antibody

INSM1, also known as Insulinoma-Associated Protein 1, is a zinc finger transcription factor that plays a crucial role in neuroendocrine differentiation. Expression is found in neuroendocrine cells throughout the body.

INSM1 is found in the majority of neuroendocrine neoplasms and is used as nuclear marker of neuroendocrine differentiation. INSM1 is expressed in a broad spectrum of neuroendocrine tumors (including small cell carcinoma, large cell neuroendocrine carcinoma and well differentiated neuroendocrine tumor/carcinoid tumor of various sites).

Anti-INSM1 can be used for differentiation of pancreatic neuroendocrine tumors (100%) from pancreatic adenocarcinoma (0%). In lung, INSM1 is found in 95% of small cell carcinoma, in 91% of large cell neuroendocrine carcinoma and in about 3% of adenocarcinoma.

My German Pavilion

  • Manage your personal profile here and enter your desired business contacts to German companies
  • Keep an eye on the trade fairs, German exhibitors and products that are of interest to you
  • Receive an e-mail notification on relevant upcoming German trade fair presentations
Sign up now