WHX Labs 2026Products & Services TRPS1 (QR099) - Recombinant rabbit monoclonal antibody
TRPS1 (QR099) - Recombinant rabbit monoclonal antibody
Exhibitor
quartett Biotechnologie
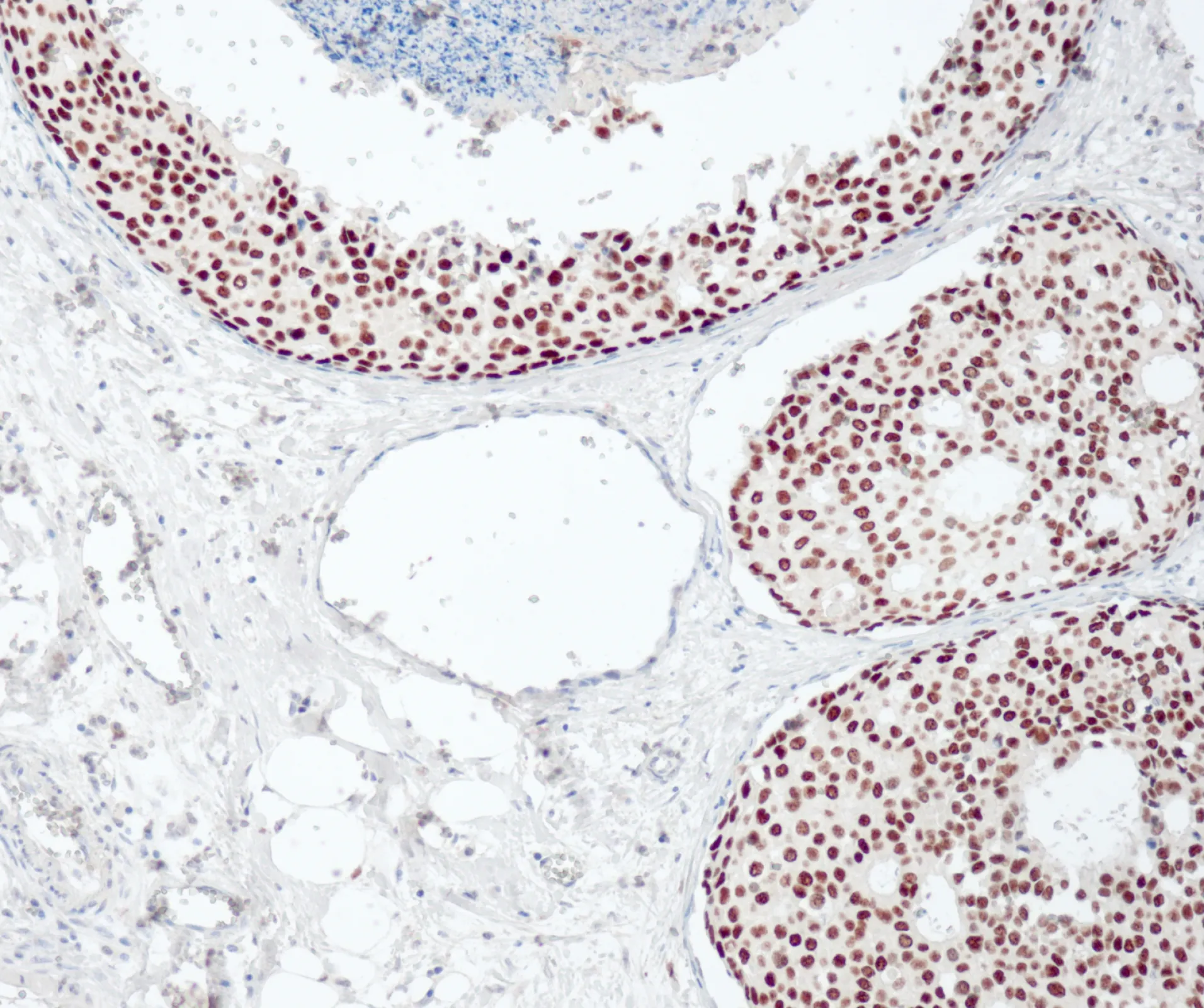
TRPS1 (Transcriptional Repressor GATA Binding 1) is a nuclear transcription factor protein that mainly acts as a transcriptional repressor. It plays a critical role in the development of cartilage, bone and hair follicle. TRPS1 is highly expressed in breast epithelial tissues functioning as an essential regulator for the growth and differentiation of normal mammary epithelial cells.
TRPS1 is involved in the development of breast cancer and is required for breast cancer cell survival. Positive expression is found in >90% of breast cancer cases. Therefore, anti-TRPS1 is increasingly used in IHC to determine breast cancer subtype and evaluate tumor biology.
_Mamma-adenocarc.-invasive_10x_2-resized.webp)