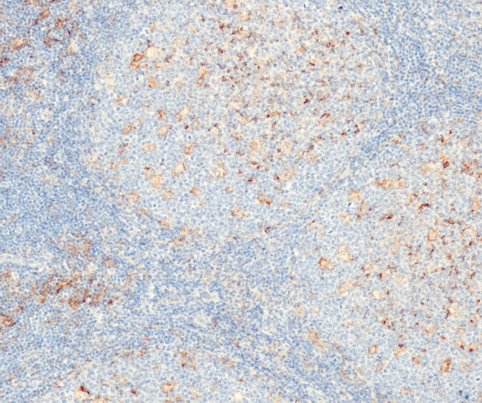
PD-L1 (QR001) - Recombinant rabbit monoclonal antibody
Exhibitor
quartett Biotechnologie
Programmed Death Ligand 1 (PD-L1), also known as CD274 and B7-H1, is a transmembrane protein expressed on the surface of resting T-cells.
Binding to its receptor PD-1, a T-cell immune checkpoint, T-cell activation is inhibited and autoimmune reaction is stopped. Some tumor cells use this mechanism to prevent apoptosis and obtain resistance against CD8+ T-cell mediated cell lysis. Blockade of the PD-1/PD-L1 pathway has now shown useful in therapy of multiple cancer types, causing durable tumor regressions in a substantial proportion of otherwise treatment refractory cases of melanoma, and carcinomas of e.g., lung, kidney, and urinary tract.
Anti-PD-L1 is suitable to detect non-small cell lung cancer (NSCLC), gastric carcinoma or melanoma. According to literature PD-L1 is known to be expressed in 36-72% of NSCLC, 33-83% of melanoma and 15-69% of gastric cancer.
_Tonsil_10x-resized.webp)